Dental Technicians Raise the Quality of Dental Restoration and Operator Comfort
Anthony Laurie of DentAL Excellence Ltd operates a technical dental laboratory in the heart of London and bases his business around the delivery of exceptional dental restorations to his demanding customer base. Tony introduced advanced Vision Engineering Mantis magnification for all of his technicians. The need for this level of magnification equipment is explored.
Dental marketplace
Many famous people make use of dental restoration to enhance their appearance and while this type of treatment was only available to a limited group of people it is becoming more widely used. Dental restorations include clinical need as well as aesthetic need, with restorations used in the treatment of accidents and illness.
The process for the creation of dental restorations has developed in recent years due to pressure in the dental market place and the introduction of technically superior material products and manufacturing technology.
Fig 1 Dental Excellence
London Laboratory
New materials have forced the dental industry worldwide to re-examine the application of materials to the art of dental restoration. What is seen in the photographs and smile today was in the mind and hands of the dental technician yesterday. It is the technician who determines the quality of the restoration that in turn defines the smile, the bite and the chew.
Initially, the patient has a consultation where the dentist provides a prescription for reconstruction to restore ideal jaw function or to improve aesthetics.
Dental restoration manufacturing process
The process of manufacturing dental restoration begins with the preparation of the existing teeth or providing implants in the mouth. When prepared, the dentist takes an impression of the teeth and surrounding tissues.
The patient is fitted with temporary restorations to protect the prepared areas and impressions are taken, to be sent to the dental laboratory, together with any other relevant information on the patient’s clinical situation.
Even at this early stage, it is vital that the impressions are free of defects. From the impressions, stone models are made of the upper and lower jaws which are then articulated together to represent the patient’s bite.
Fig 2 Checking Marginal
Fit of Wax Model
The stone model of interest is sectioned at the location of the restoration and the prepared areas are removed and trimmed. The artistry of the technician now comes to the fore as he makes a wax version of the restoration.
The wax is used to cast the frame of the restoration and the frame will carry the porcelain surfaces and connect to the carrying teeth or detail implants. When the technician, the dentist and patient are happy, the crown or bridge is permanently cemented or bonded in place.
Some dental technicians and dentists are willing to accept poor quality for restoration and these can be can be delivered and fitted. It is obvious where the poor fit of the crowns has caused the gums to recede, exposing dark margins and collecting decay.
Fig 3 Poorly fitting crown
The Clinical failure of these restorations may only come to light many months after the fitting, and only be seen by the dentist.
The implications of a poor clinical fit are poor dental hygiene and dental work being required soon after the fitting. The poor manufacture and fitting of dental restorations can cause medical issues and do not look good on the patient.
For this reason the quality of the restoration should be checked at every stage of manufacture to assure that the manufacturing will provide a high quality restoration and a high quality of clinical fit assuring long service life and excellent aesthetics.
Tony Laurie describes his philosophy:
“In all cases my technicians make use of magnification to check the build and fit of our restorations.
“We check at each stage of the process and it is this attention to detail and the high quality magnified images from our Mantis systems which allow us to detect any minor issues and to correct them at the earliest opportunity.
“We make sure that at each step of the process we have made the best restoration and we have the correct fit.”
Rejection is a costly error
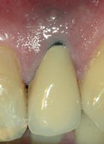
Fig 4 Poorly Fitting 30 year
old Crowns
A restoration does have a manufacturing problem then there may be a cumulative effect as at each stage of the process the errors can be amplified. Adding value to a restoration which may be clinically inferior at best or rejected at worst is a costly error for the business.
Figure 4 shows four anterior porcelain jacket crowns, three of which were 30 years old. It is obvious where the poor fit of the crowns has caused the gums to recede, exposing dark margins & collecting decay.
Fig 5 New Restorations
Figure 5 shows the same patient with newly fitted crowns. The gums look extremely healthy and the aesthetic result is excellent.
Tony Laurie puts it succinctly:
With each technician checking the work at each stage of the process we have both a high quality product in technology terms and a high quality product in aesthetic terms. The use of Mantis® is an enabling technology and keeps all of my technicians happy.
They know the difference between good and poor quality and by using Mantis they can see the difference.
DentAL Excellence Company background
DentAL Excellence is high quality specialist restorative and implant technology laboratory together with a state of the art training facility and was founded by Anthony Laurie to design, produce dental restorations using the latest CAD-CAM, laser, induction casting and digital technologies. DentAL Excellence also provides a high level of training for the industry.






